Toggle navigation
MENU
Home
For Patients
For Doctors
Lab Services
Expert Shade Taking
Metal Free Restoration
CAD/CAM
PFM
Implants
Case Planning
Case Studies
Get Started Today
About Us
Contact
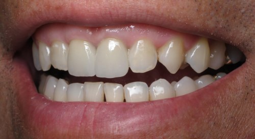
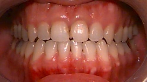
Case Studies - Before and After
Case Study 1
Case Study 2
Case Study 3
Case Study 4
Case Study 5